在人体免疫系统中,NK细胞扮演着“第一道防线”的角色。作为先天免疫细胞,它们无需预先致敏就能直接攻击癌细胞和病毒,被誉为抗癌的“特种兵”。
近年来,随着医学技术的进步,NK细胞疗法在肿瘤治疗领域取得了令人瞩目的突破。它不仅在血液肿瘤中表现出色,在实体瘤的治疗上也展现出了巨大的潜力。
以下是NK细胞疗法在临床应用中的四大核心亮点:
一、 延长生存期:晚期卵巢癌患者的“新生”
中国科学技术大学免疫学研究所的田志刚院士在第十三届北京消化肿瘤国际高峰论坛上分享了NK细胞疗法的最新成果。

在针对NK010的临床试验中,多名预计生存期仅2-6个月的铂耐药晚期卵巢癌患者,通过NK细胞治疗显著延长了生存时间。
其中一位患者的故事尤为鼓舞人心。该患者于2014年确诊晚期卵巢癌,历经手术、化疗,病情仍不断进展。2019年入组NK细胞治疗临床研究时,体内已有多个转移病灶。经过13次NK细胞治疗,截至2020年9月,患者已存活超过40个月,且影像学检查显示病灶明显缩小甚至消失。
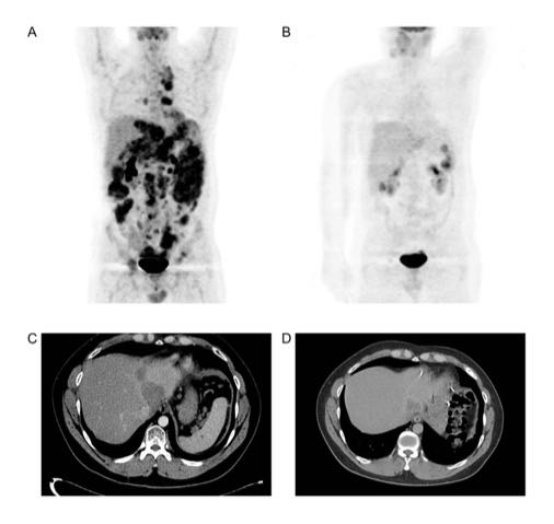
二、 实体瘤克星:肉瘤患者肿瘤缩小近半
对于化疗效果不佳的晚期肉瘤患者,NK细胞疗法同样带来了转机。
一项关于SNK01(一种自体增强NK细胞产品)的研究显示,一名转移性促结缔组织增生性小圆细胞肿瘤患者,在接受多种化疗及免疫治疗失败后,接受了SNK01联合帕博利珠单抗治疗。
治疗一年后,该患者的肿瘤体积缩小了47%,达到了部分缓解的标准。随后患者接受了减瘤手术和放化疗,病情持续缓解,至今未见复发迹象。

三、 联合出击:淋巴瘤与乳腺癌的双重奏效
NK细胞疗法不仅单打独斗能力强,与抗体药物联用时更是威力倍增。
- 淋巴瘤治疗
:在GDA-201(一种NK细胞疗法候选药物)的临床试验中,7例B细胞淋巴瘤患者的肿瘤负担明显减轻,其中3例实现了完全缓解,即体内已检测不到肿瘤病灶。 
- 乳腺癌治疗
:针对HER2阳性的实体瘤(主要为乳腺癌),NK细胞疗法联合曲妥珠单抗的I期临床试验结果显示,1例既往接受过多种治疗均失败的乳腺癌患者,在输注NK细胞两个周期后,肿瘤实现了部分缓解。
四、 未来展望:从“天价神药”到普惠医疗
相比CAR-T疗法,NK细胞疗法具有“现货型”供应的潜力,即可以由一位供血者制备,供多位患者使用,这大大降低了生产成本和等待时间。
目前,NK细胞疗法已在乳腺癌、肺癌、结直肠癌、胃癌、肝癌及卵巢癌等多种实体瘤的临床试验中取得重大进展。它不仅为晚期肿瘤患者提供了新的生存希望,也正在从一种实验性技术,转变为一种更具可及性的抗癌手段。
未来,随着技术的成熟,我们有理由相信,这道人体免疫防线将成为抗击癌症的有力武器。
参考资料1.https://cancer.cmt.com.cn/detail/1465962.html 2.https://www.auctoresonline.org/article/durable-responses-using-snk01-autologous-enhanced-natural-killer-cells-and-pembrolizumab-for-chemotherapy-resistant-advanced-sarcoma-case-reports-review-of-literature--and-future-perspectives 3.https://aacrjournals.org/clincancerres/article/26/17/4494/82678/Phase-I-Trial-of-Expanded-Activated-Autologous-NK
免责声明:本平台发布旨在科普相关知识,传递行业前沿进展,账号转载的图文内容若涉及版权等问题,请联系我们,我们将及时处理删除。
